Desde hace algunos meses, el mundo está viviendo una de sus peores pesadillas. Es cierto que existen muchos problemas y situaciones difíciles, pero la mayoría de ellos no abarcan de forma generalizada a todos los territorios del globo, algo que, en cambio, sí ha conseguido la expansión del coronavirus. Se estima que este virus ha infectado a casi 15 millones de personas, que la cifra global de supera se acerca a los 600.000 y que alrededor de 7,5 millones de personas ha conseguido recuperarse. Unas cifras que, sin duda, causan vértigo.
Aunque algunos países, gracias a los avances médicos y sanitarios, no se han visto afectados por otras epidemias de esta magnitud en las últimas décadas, la realidad es que a lo largo de la historia han hecho acto de presencia en muchísimas ocasiones. De hecho, desde los más remotos tiempos, muchas veces los brotes de enfermedades han devastado diversos territorios, a veces cambiando el curso de la historia e, incluso, marcando el inicio del fin de civilizaciones enteras.
A continuación, os contamos cuáles han sido algunas de las peores epidemias sufridas por los europeos hace más de mil años.
430 a. C.: la epidemia que asoló Atenas

Alrededor de 430 a. C., poco después de que comenzara una guerra entre Atenas y Esparta, la conocida ciudad de Atenas, hoy capital de Grecia, se vio asolada por una epidemia que duró cinco largos años. Sobre las consecuencias de aquel fenómeno se han realizado algunas estimaciones que señalan que el número de muertes fue muy alto: alrededor de 100.000. Para hacernos una idea, podemos ver qué dijo el historiador griego Tucídides (460-400 a.C.) en su obra La historia de la guerra del Peloponeso.
«Las personas que gozaban de buena salud fueron atacadas de repente por el calor violento en la cabeza, y enrojecimiento e inflamación en los ojos, las partes internas, como la garganta o la lengua, sangrienta y que emite un aliento antinatural y fétido”.
Lo curioso es que a día de hoy no se sabe con exactitud cuál fue la enfermedad que se sufrió, aunque algunos científicos afirman que pudo tratarse de fiebre tifoidea o de ébola.
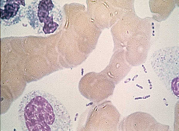
Siglo II: la peste antonina

En este caso, es probable que fuesen los soldados quienes llevasen a Roma la enfermedad, en este caso, la viruela, probablemente desde la lejana región de Partia, en el noreste de Irán. La Peste Antonina arrasó con el ejército y, según April Pudsey, profesora de Historia Romana en la Universidad Metropolitana de Manchester, pudo haber matado a más de 5 millones de personas en el todo el territorio del imperio.
Si hay que buscarle algo positivo a esta dramática situación, es cierto que la epidemia contribuyó al final de la Pax Romana , un período del 27 a. C. al 180 d. C., cuando Roma estaba en el apogeo de su poder. Sin embargo, tras ese periodo, la inestabilidad comenzó a ser, poco a poco, la nota dominante en todo el Imperio Romano, en especial por los problemas con los pueblos bárbaros.
250-271 d. C.: la peste de Cipriano

El nombre de este acontecimiento se debe a San Cipriano, un obispo de Cartago que describió la epidemia como una señal del fin del mundo. Las estimaciones apuntan a que solo en Roma la epidemia acabó con a 5.000 personas al día. En 2014, los arqueólogos encontraron Luxor lo que parece ser un lugar de entierro masivo de víctimas de esta enfermedad. Algunos de los cuerpos estaban cubiertos con una gruesa capa de cal, un producto que se utilizaba como desinfectante, mientras otros restos mostraban evidencias de haber sido quemados en una hoguera gigante. Según los expertos, pudo tratarse de sarampión, viruela o ébola.
Mediados del siglo VI: la plaga de Justiniano

Esta ocurrió en la Alta Edad Media, cuando la época antigua ya había dejado paso a una nueva etapa histórica. El Imperio Bizantino fue devastado por esta catástrofe que coincidió con el comienzo de su decadencia. Este hecho se ha conocido como plaga de Justiniano, por el emperador del mismo nombre, cuyo reinado se extendió entre el 527 y el 565. Su impacto geográfico fue inmenso, afectando a Asia, África y Europa. A lo largo de 200 años, esta epidemia habría acabado con la vida de unas 50 millones de personas, lo que supondría alrededor de un 20% de la población mundial del momento.
Una peculiaridad es que durante mucho tiempo, nadie pudo saber qué pudo causar tales estragos. El misterio se resolvió en 2016, cuando un grupo de un grupo de expertos de la Universidad de Munich utilizó la tecnología para analizar el cráneo de una de las víctimas. La conclusión es que la enfermedad fue causada por un la bacteria Yersinia pestis, que en el ser humano es la culpable de producir la peste pulmonar, la peste bubónica y la peste septicémica.

One thought on “Cuatro epidemias que devastaron Europa hace más de mil años”
Comments are closed.